-
Client Tips for Fighting Doggie Breath
Feb 17, 2023When a pet’s breath is bad enough to cause people to shrink away, give your clients this advice on causes of doggie breath and how to fight it! -
Dispelling Dental Myths
Feb 19, 2019Did you know that approximately 80% of adult dogs and 70% of adult cats have some form of oral disease? There are many misconceptions about how to provide good oral care to your patients. -
How is anesthesia used in canine surgery?
Feb 7, 2019Just like humans, dogs are often put under anesthesia when receiving surgery. However, since conditions such as gingivitis and periodontal disease require anesthesia to treat, it’s no surprise that dog owners are concerned and desire to learn more about the process. -
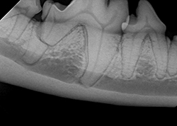
What is canine periodontal disease?
Feb 1, 2019 -
What dental conditions should I look for in my dog?
Jan 29, 2019In addition to gingivitis and periodontal disease, there are some less commonly seen dental conditions that owners should be aware of, such as tooth fractures, tooth root abscess, and caries. -
Specialized Dentistry for Pets
Feb 15, 2017Through advanced training, veterinary dentists can offer specialized care for animals with specific oral and/or dental problems. -
Dental Procedure Aftercare Tips
Feb 8, 2017When a pet undergoes anesthesia for dental work, give your clients these tips to care for them when they get back home. -
At-Home Pet Dental Care Tips
Feb 2, 2017Providing clients with information about dental care ensures your practice is their first contact when they notice symptoms of dental problems. -
Retained Baby Teeth Can Cause Big Problems
Sep 6, 2016Retained baby teeth in cats and dogs can cause permanent damage if not treated early. Learn how to spot the problem early and what to do about it. -
Joining in the Fight Against Gum Disease
Sep 6, 2016Working together, veterinarians & clients can reduce periodontal disease! Learn helpful preventative tips to keep gum disease from getting too advanced.
Need Regulatory Assistance
If you need help with regulatory or licensing issues, we're happy to help. We have a wide variety of resources to help you when issues arise.
Careers
Are you looking for a place to let your talents shine? At Covetrus, we help our practitioner customers better serve their patients and take pride in providing the best customer experience possible. Search our open positions to see our available opportunities.
Newsletter
Stay current with what’s going on with Covetrus, subscribe to receive our newsletter and email communications. Subscribers will receive the latest information in practice management, sales and marketing, animal health, and more.